Sorrisos de excelência começam com tecnologia e cuidado real.
Especialista em Prótese Dentária, Implantes e Estética com foco em resultados duradouros e naturais.
QUEM SOU
Dra. Kelly Cristina
Com mais de 20 anos de experiência e um currículo extenso de especializações, a Dra. Kelly Pina oferece um atendimento odontológico humanizado e de excelência, com foco em saúde, estética e bem-estar.
Graduada em Odontologia pela UNIDERP (1997–2001), Dra. Kelly construiu sua carreira com base em estudo constante e atuação prática diversificada. São mais de 25 cursos e congressos nacionais e internacionais nas áreas de Estética, Prótese e Implantodontia, com passagens por instituições como UFMS, ABO-MS, CIOSP, Instituto Salazar, IOA e participação em eventos internacionais como o IDS na Alemanha.
Especialidades
Lentes de contato, facetas e restaurações estéticas que transformam o sorriso de forma natural e harmônica.
Reabilitação oral com implantes dentários modernos, promovendo conforto e segurança.
Soluções funcionais e estéticas em prótese sobre dentes e implantes, com escaneamento intraoral.
Educação em saúde bucal e acompanhamento contínuo para manter seu sorriso saudável.
Experiência profissional consolidada
Ao longo da carreira, atuou em diversas frentes:
Exército Brasileiro – Oficial Dentista (R2) nas áreas de clínica geral e prótese dentária.
SESC-MS – Dentista especialista em prótese, com escaneamento intraoral e estética.
Consultório Particular – Atendimentos personalizados nas áreas de reabilitação oral e estética.
Projetos Filantrópicos – Atendimentos gratuitos a pacientes em situação de vulnerabilidade, além de ações educativas e sociais com adolescentes e adultos.
Tecnologia, empatia e cuidado personalizado
Aliando tecnologia de ponta ao olhar humano, a Dra. Kelly realiza seus atendimentos com escaneamento intraoral, planejamento digital e materiais de última geração. Cada tratamento é planejado de forma individual, respeitando a anatomia, o estilo de vida e os desejos de cada paciente.
Um sorriso transformado começa com uma escolha
Seja para restaurar a função, melhorar a estética ou prevenir problemas futuros, você pode contar com um atendimento ético, técnico e acolhedor.
Agende sua avaliação e descubra como seu sorriso pode refletir a sua melhor versão.
Diferenciais
Dispensamos moldes desconfortáveis e imprecisos. Com o escaneamento digital, capturamos cada detalhe do seu sorriso com conforto, agilidade e máxima precisão.
Contamos com laboratório próprio de prótese, o que permite um controle rigoroso de qualidade e agilidade nos ajustes, minimizando falhas e entregando resultados mais previsíveis e personalizados.
Sem correria, sem atendimentos em massa. Aqui, cada caso é único e analisado com profundidade.
Alinhamos estética e funcionalidade, respeitando a anatomia, proporção facial e naturalidade do sorriso.
O QUE OFERECEMOS
Serviços
Odontológicos
Reabilitação com coroas, próteses fixas ou removíveis, devolvendo estética e função.
Clareamentos, facetas e restaurações estéticas com foco em harmonia facial.
Lorem ipsum dolor sit amet, consectetur adipiscing elit. In vitae auctor massa.
Lorem ipsum dolor sit amet, consectetur adipiscing elit. In vitae auctor massa.
Reposição definitiva de dentes perdidos com técnica moderna e resultados naturais.
Visualize seu novo sorriso antes do início do tratamento com recursos digitais avançados.
Conforto, precisão e agilidade na documentação e planejamento de casos.
Lorem ipsum dolor sit amet, consectetur adipiscing elit. In vitae auctor massa.
Lorem ipsum dolor sit amet, consectetur adipiscing elit. In vitae auctor massa.
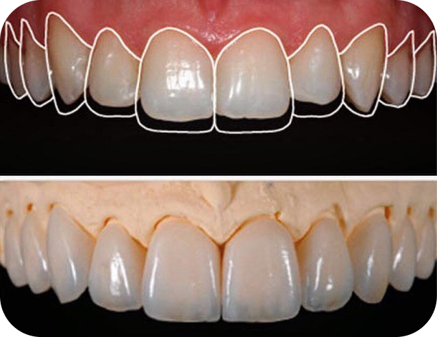
Transformações que devolvem autoestima
Casos reais
Aqui, você verá resultados reais, com harmonia e naturalidade.



VENHA NOS VISITAR
Contato
Rua Abrão Julio Rahe, 1153 | 79020-190 Campo Grande-MS